Chipped, discolored, and uneven teeth beautifully restored with custom composite veneers—creating a balanced and confident smile. Smile Makeover ($10,000–$20,000 approx. cost)
Uneven color and small gaps refined with non-invasive custom composite veneers—bringing a naturally radiant smile. Smile Makeover ($5,000–$15,000 approx. cost)
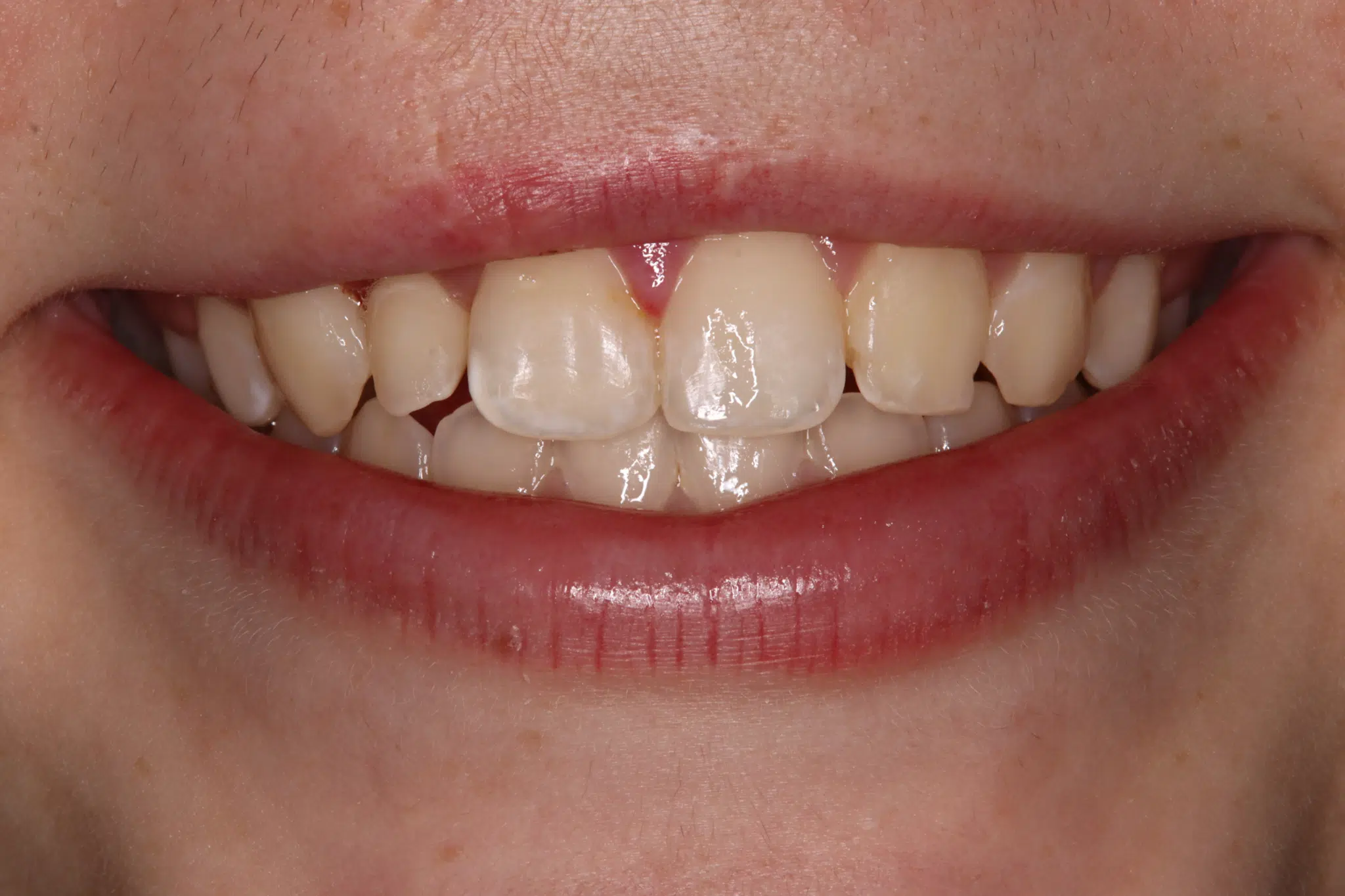
Crowded and uneven teeth reshaped with composite veneers for a smoother, brighter, and natural smile. Smile Makeover ($5,000–$15,000 approx. cost)
A chipped front tooth was artistically repaired with a single composite veneer, restoring balance and a seamless smile. Smile Makeover ($1,000–$10,000 approx. cost)
Previous veneers with mismatched color and shape were redesigned through the Facial 32 Technique, restoring harmony and natural aesthetics. Smile Makeover ($1,000–$10,000 approx. cost)
Custom veneers transformed this smile, correcting alignment, closing gaps, and enhancing brightness for a natural, confident look. Smile Makeover ($10,000-$20,000 aprox. cost)
Creative smile makeover of six front teeth with composite veneers using the Facial32 Technique. Smile Makeover ($5,000-$15,000 aprox. cost)
Small gaps and uneven shapes perfected with non‑prep composite veneers. Smile Makeover ($5,000-$15,000 aprox. cost)
Darkened and worn teeth rejuvenated with minimally invasive veneers. Smile Makeover ($10,000-$20,000 aprox. cost)
Short front teeth treated with non-prep composite veneers, to give harmony to her smile. Smile Makeover ($5,000-$15,000 aprox. cost)
Uneven color and minor wear restored with minimally invasive veneers. Smile Makeover ($5,000-$15,000 aprox. cost)
Miss-shaped narrow teeth treated with non-prep composite veneers Smile Makeover ($10,000-$20,000 aprox. cost)
Discoloration and worn edges treated with non-prep composite veneers Smile Makeover ($10,000-$20,000 aprox. cost)
Fractured edge treated with composite artistry. Smile Makeover ($1,000-$10,000 aprox. cost)
Minimally invasive porcelain veneers placed on front six teeth after whitening. Smile Makeover ($5,000-$15,000 aprox. cost)
Stained teeth restored with minimally invasive veneers. Smile Makeover ($5,000-$15,000 aprox. cost)
Congenitally missing lateral replacement with dental implant. Smile Makeover ($5,000-$15,000 aprox. cost)
Spaces between the teeth were closed with minimally invasive composite veneers. Smile Makeover ($5,000-$15,000 aprox. cost)
Missing laterals replaced with dental implants. Smile Makeover ($10,000-$20,000 aprox. cost)
Miss-matched porcelain veneers on lateral teeth, replaced with composite veneers. Smile Makeover ($1,000-$10,000 aprox. cost)
Unesthetic denture was replaced with a beautiful implant retained denture Smile Makeover ($10,000-$20,000 aprox. cost)
Worn edges restored with minimally invasive veneers. Smile Makeover ($5,000-$15,000 aprox. cost)
Severely damaged and stained teeth completely restored. Smile rehabilitation ($10,000-$20,000 aprox. cost)
Before

After

An unforgettable, life‑transforming smile rehabilitation ($10,000-$20,000 aprox. cost)
Before

After

Life changing smile rehabilitation ($5,000-$15,000 aprox. cost)
Before

After

Patient's previous dentures were too big for her face. Replaced with aesthetically pleasing dentures using
The Facial32 Technique. Smile Rehabilitation ($5,000-$15,000 aprox. cost)
Before

After

Chipped and uneven front teeth beautifully redesigned with custom composite veneers. Smile Makeover ($5,000-$15,000 aprox. cost)
Before

After

Worn and discolored teeth refreshed with custom veneers for a cleaner, more youthful smile. Smile Makeover ($5,000–$15,000 approx. cost)
Before

After

Discolored front tooth restored with composite artistry after teeth whitening. Smile Makeover ($1,000-$10,000 aprox. cost)
Before

After

Missing front teeth replaced with porcelain bridge after teeth whitening. Smile Makeover ($5,000-$15,000 aprox. cost)
Before

After

Fractured teeth due to wear restored with non-prep composite artistry. Patient declined whitening. Smile Makeover ($5,000-$15,000 aprox. cost)
Before

After

Failing restorations replaced with esthetic porcelain crowns. Smile Rehabilitation ($1,000-$10,000 aprox. cost)
Before

After

Severe dental wear FULL mouth reconstruction treated with aesthetically pleasing porcelain restorations. Smile Makeover ($10,000-$20,000 aprox. cost)
Before

After

Broken lower implant denture replaced with a new aesthetically designed zirconia implant retained denture. ($10,000-$20,000 aprox. cost)
Before

After

Spaces between the teeth closed with minimally invasive composite veneers after teeth whitening. Smile Makeover ($10,000-$20,000 aprox. cost)